812 777 00 00
Записаться на прием

Клинов Андрей Александрович

Врач-стоматолог-хирург, пародонтолог

Записаться на прием
Клинов А.А.

Я вижу свое призвание в том, чтобы открыть для человека возможность заново улыбаться, открыто смеяться и наслаждаться вкусом еды. Поэтому для меня важно, чтобы пациент получил гарантированный и предсказуемый результат.

«При проведении лечения пациент и врач-стоматолог должны быть соратниками. Достигнуть превосходных результатов можно только при слаженной работе в команде специалистов стоматологов и пациента. Если пациент счастлив и после работы со мной перестаёт испытывать страх перед врачами-стоматологами, начинает уделять внимание своему здоровью — тогда я понимаю, что сделал правильный выбор профессии», — говорит Андрей Александрович.

Андрей Александрович — увлечённый своим делом профессионал. Основным направлением его работы являются хирургия и пародонтология. Андрей Александрович владеет техникой закрытия рецессий зубов и имплантатов. Философия доктора заключается в сохранении зубов. В случае же невозможности этого — владение методиками бережного удаления зубов, консервации лунок, открытого и закрытого синус-лифтинга, процедурой по наращиванию костной ткани даёт врачу возможность проводить полноценное восстановление жевательной функции при помощи имплантации.

Андрей Александрович регулярно посещает курсы и конгрессы по хирургической стоматологии, пародонтологии и имплантологии в России и за рубежом.

Стаж с 2012 года.

Примеры работ

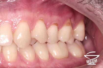
До начала лечения
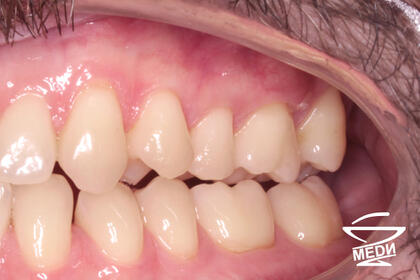
После лечения лечения

Причина обращения: оголение корней зубов на верхней челюсти, повышенная чувствительность зубов к температурным и механических раздражителям. Пациенту проведена операция пластики рецессий коронально-смещённым лоскутом с подсадкой свободного соединительнотканного трансплантата. Результат через 7 месяцев.

Отзывы пациентов

Отзыв №106293 |

Как по волшебству избавит вас от ненужных зубов, без неприятных последствий и осложнений. Выражаю благодарность Андрею Александровичу за его профессионализм и поддержку во время удаление зубов мудрости, а также всем сотрудникам Меди на Итальянской за заботу

Инна

Инна, здравствуйте! Большое спасибо за Ваш отзыв и теплые слова в адрес Андрея Александровича Клинова и нашей команды. Мы искренне рады, что удаление зубов мудрости прошло для Вас без неприятных последствий и осложнений. Профессионализм наших врачей и забота о пациентах — это то, что мы ценим больше всего. Желаем Вам здоровья и всегда будем рады видеть в нашей клинике!

Директор по сервису Зосимова Жанна Геннадьевна
Отзыв №106191 |

Огромная благодарность доктору Клинову Андрею Александровичу и другим сотрудникам клиники на Суворовском!
Я к сожалению не имею возможности постоянно лечиться в Меди, но в трудную минуту всегда обращаюсь сюда. В этот раз, с острой болью, позвонила в клинику 13 января. Администатор Юлия записала меня на приeм в этот же день к замечательному доктору, и встретила так тепло и доброжелательно, что страх сразу прошел.
Андрей Александрович подробно разъяснил ход операции, ювелирно удалил сломанный зуб, очень быстро остановил кровотечение, дал рекомендации по дальнейшим действиям и будущему лечению.
Как известно, если врач и пациент - союзники, то у болезни нет шансов, поэтому так важно доверие к доктору.
Заживление пошло идеально. Дома боли не было вообще, даже слабой; никакого кровотечения. Вернулась к нормальной жизни, только соблюдаю осторожность с приeмом пищи и гигиеной.
Отдельное спасибо ассистенту доктора за высокий профессионализм и заботу.
Постараюсь в дальнейшем лечиться в Меди, ведь здесь пациент чувствует себя человеком, а не "объектом приложения труда".
Спасибо!

Чернякова Евгения Георгиевна | СПб

Евгения Владимировна, огромное спасибо за Ваш отзыв! Мы рады, что смогли помочь Вам и Вы остались довольны обслуживанием и результатом лечения. Андрей Александрович и вся команда клиники всегда стремятся создать комфортную атмосферу, и нам приятно, что это было замечено. Здоровье и доверие пациентов - это наша главная ценность.

Будем рады видеть Вас снова в клинике Меди для дальнейшего лечения и профилактики. Берегите себя и будьте здоровы!

Директор по сервису Зосимова Жанна Геннадьевна
Отзыв №106059 |

Выражаю огромную благодарность команде настоящих профессионалов за качественно выполненную работу по имплантации переднего зуба с наращиванием костной ткани:
стоматологу-хирургу Клинову А.А., стоматологу-ортопеду Шогенову М.Н. и зубному технику Ляну М.А. Работа выполнена специалистами на высоком уровне и, что приятно удивило, уверенно и с душой! В результате - зуб как живой и натуральная улыбка!

Ольга | Санкт-Петербург

 Ольга, большое спасибо за Ваш отзыв, мы рады, что порадовали Вас результатом. Иначе и быть не могло, это слаженная команда профессионалов. Спасибо, что доверили нам свою улыбку и нам очень приятно, что Вы отметили каждого специалиста поименно. Улыбайтесь с удовольствием. А мы всегда рады видеть Вас снова!

Директор по сервису Зосимова Жанна Геннадьевна