812 777 00 00
Записаться на прием

Филоненко Сергей Александрович

Врач-ортодонт, гнатолог

Записаться на прием
Филоненко С.А.

О человеке принято судить по его внешности. В современном мире ровные белоснежные зубы — залог успеха и здоровья, признак счастья, молодости и красоты. Красивая улыбка позволяет нашим пациентам изменить свою жизнь.

Ведёт приём в клиниках

(ведущий специалист)
(ведущий специалист)

Цены на услуги ведущих специалистов клиник отличаются от цен, указанных в базовом прайс-листе.

Сергей Александрович — опытный врач-ортодонт, увлеченный своей профессией.  Применение современных технологий позволяет ему эффективно проводить ортодонтическое лечение и взрослым, и подросткам, добиваясь конечного результата — красивого и ровного зубного ряда, а также осуществлять ортодонтическое лечение детей раннего возраста (профилактическая ортодонтия).

При проведении ортодонтического лечения Сергей Александрович применяет съемные и несъемные ортодонтические аппараты, использует техники вестибулярной и лингвальной брекет-систем, многопетлевой дуги. Проводит лечение элайнерами. Взаимодействует с челюстно-лицевым хирургом.

При его активном участии внедрен единый подход к лечению детей несъемными аппаратами, использование концепции окклюзионной плоскости и техники многопетлевой дуги MEAW. 

Он способствует широкому использованию микроимплантатов при ортодонтическом лечении. Данный подход позволяет избежать хирургического вмешательства и добиваться стабильных функциональных и эстетических результатов.

Сергей Александрович отмечает, что ортодонтическое лечение — длительный процесс и, чтобы достичь намеченных целей, необходим доверительный контакт с пациентом. Кроме того, ортодонтическое лечение зачастую является частью сложного комплексного процесса лечения, результаты которого позволят хирургу качественно провести имплантацию, а врачу-ортопеду — восстановить функциональность и, как общий итог, эстетику улыбки.

Выпускник Венской школы междисциплинарной стоматологии. Является автором статей, участником международных мероприятий по ортодонтии, официальным переводчиком стоматологических семинаров и конгрессов с испанского языка.

Стаж с 2004 года.

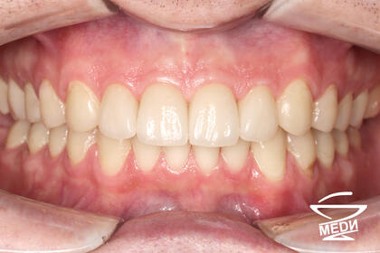
Примеры работ

До начала лечения
В процессе лечения
После лечения лечения

Причина обращения: повышенная стираемость зубов по причине неправильного прикуса, неудовлетворительная форма и размер зубов. На этапе ортодонтического лечения проведено временное восстановление формы и размера зубов передней группы. После лечения проведена установка керамических реставраций. Данный подход к лечению является авторской методикой, разработанной врачом-ортодонтом Филоненко С.А. совместной с врачом-стоматологом-ортопедом Макаровой А.Н.

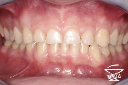
До начала лечения
В процессе лечения
После лечения лечения

Причина обращения: повышенная стираемость зубов по причине неправильного прикуса, неудовлетворительная форма и размер зубов. На этапе ортодонтического лечения проведено временное восстановление формы и размера зубов передней группы. После лечения проведена установка керамических реставраций. Данный подход к лечению является авторской методикой, разработанной врачом-ортодонтом Филоненко С.А. совместной с врачом-стоматологом-ортопедом Макаровой А.Н.

До начала лечения
В процессе лечения
После лечения лечения

Причина обращения: повышенная стираемость зубов по причине неправильного прикуса. До ортодонтического лечения проведено временное восстановление формы и размера зубов. После ортодонтического лечения установлены керамические реставрации. Данный подход к лечению является авторской методикой, разработанной врачом-ортодонтом Филоненко С.А. совместной с врачом-стоматологом-ортопедом Макаровой А.Н.

Отзывы пациентов

Отзыв №104980 |

Выражаю большую благодарность ортодонту Сергею Александровичу Филоненко и его прекрасным помощницам — Анне Фесик и Екатерине Васильевой — за ровную улыбку и профессиональное исправление прикуса!
Лечение прошло безболезненно, уже месяц радуюсь результату.

Спасибо за внимательное отношение к пациентам :)

Татьяна Прийма | Санкт-Петербург, Россия

Татьяна, благодарю Вас за отзыв и терпение, которого требует ортодонтическое лечение :-) Приятно, что Вы отметили не только одного из лучших докторов МЕДИ, но и его помощниц. Улыбайтесь с удовольствием, Вам так идет улыбка!

Ждем Вас на контрольные осмотры, будем рады Вас видеть!

Директор по сервису Зосимова Жанна Геннадьевна
Отзыв №99839 |

Добрый день!
Хочу выразить благодарность Филоненко Сергею Александровичу за профессионализм и отлично проделанную работу, особо отметить его вежливость, внимательность и аккуратность. Лучший из враче-ортодонтов, которых знаю.

Александр Лучин | Санкт-Петербург

Уважаемый Александр Антонович, добрый день!
Большое спасибо за Ваш отзыв- Сергей Александрович (главный специалист по ортодонтии МЕДИ) обладает безусловным профессионализмом, а главное, любит свою профессию и стремится к максимальным результатам. Очень приятно, что результат лечения Вам радует.
Будем рады видеть Вас на контрольные осмотры!

Директор по сервису Зосимова Жанна Геннадьевна
Отзыв №98431 |

Хочу отметить работу врача-стоматолога «МЕДИ на Невском» Филоненко С.А. за проведение ортодонтического лечения в очень комфортных условиях. А также хочется отметить полученный результат, которым я полностью удовлетворена.

Ирина Юрьевна Канделаки

Уважаемая Ирина Юрьевна, добрый день!

Огромное спасибо за отзыв! Слова благодарности от Вас очень важны для всего коллектива клиники и для врача стоматолога ортодонта Сергея Александровича Филоненко. Очень радует, Вы полностью удовлетворены достигнутым результатом.

Всегда рады видеть Вас в наших клиниках!

Директор по сервису Зосимова Жанна Геннадьевна