812 777 00 00
Записаться на прием

Небудчикова Елизавета Николаевна

Врач-стоматолог-терапевт, детский стоматолог

Записаться на прием
Небудчикова Е.Н.

В своей профессии ценю возможность постоянно развиваться, получать новые знания. Искреннее желание помочь, внимательное отношение к пациенту — одни из главных принципов работы врача.

Ведёт приём в клиниках

Елизавета Николаевна осуществляет все виды терапевтического лечения зубов, выполняет сложные работы по прямой и непрямой реставрации, а также микропротезированию и эндодонтическому лечению.

Использует технологии аппаратного отбеливания зубов, а кроме того — технологию щадящего — микроинвазивного лечения кариозных поражений в проксимальной области и на вестибулярных поверхностях.

Участник ежегодной Всероссийской Байкальской научно-практической конференции молодых ученых и студентов с международным участием.

Стаж с 2016 года.

Примеры работ

До начала лечения
В процессе лечения
После лечения лечения

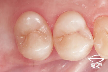
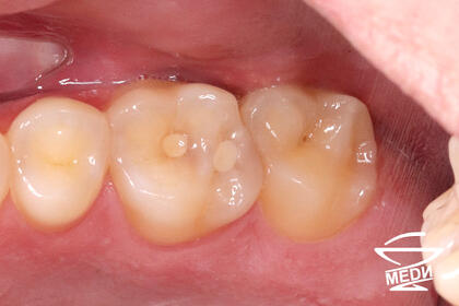
Лечение кариеса и эстетическая реставрация зуба

До начала лечения
После выполнения плана лечения

Лечение кариеса и эстетическая реставрация зуба

До начала лечения
После выполнения плана лечения

Лечение кариеса и эстетическая реставрация зуба

До начала лечения
После выполнения плана лечения

Лечение кариеса и эстетическая реставрация зубов

До начала лечения
После выполнения плана лечения

Лечение кариеса и эстетическая реставрация зубов

До начала лечения
После выполнения плана лечения

Лечение кариеса и эстетическая реставрация зубов