812 777 00 00
Записаться на прием

Афанасьева Анастасия Игоревна

Врач-стоматолог-терапевт

Записаться на прием
Афанасьева А.И.

Самое главное в работе — взаимопонимание с пациентом, ответственность и работа в команде. Это позволяет получить качественный результат лечения, который будет радовать пациента на протяжении долгого времени.

Ведёт приём в клиниках

(ведущий специалист)

Цены на услуги ведущих специалистов клиник отличаются от цен, указанных в базовом прайс-листе.

Анастасия Игоревна в своей работе стремится достигать наилучшего результата в каждой конкретной ситуации.

Профессиональное мастерство, душевная доброта, отзывчивость и спокойный уравновешенный характер — это те качества Анастасии Игоревны, которые каждый день она дарит своим пациентам.

Стаж с 2008 года.

Примеры работ

До начала лечения
В процессе лечения
После лечения лечения

Восстановление зуба с помощью керамической вкладки.

До начала лечения
В процессе лечения
После лечения лечения

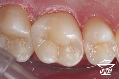
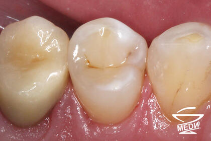
Лечение кариеса и эстетическая реставрация зубов

До начала лечения
После лечения лечения

Лечение кариеса и эстетическая реставрация зубов

До начала лечения
После выполнения плана лечения

Лечение кариеса и эстетическая реставрация зубов

До начала лечения
После выполнения плана лечения

Лечение кариеса и эстетическая реставрация зубов

Отзывы пациентов

Отзыв №106156 |

Хочу поблагодарить доктора клиники Меди. Анастасия Игоревна Афанасьева - прекрасный врач, который любит свою работу, творчески к ней относится, добивается лучшего результата и радуется вместе с пациентом, когда удается решить проблему. Особенно понравился глобальный подход, когда врач представила и пояснила всю программу лечения, а затем искусно, не спеша, с точностью и эстетикой скульптора ее выполнила.

Татьяна Юрьевна | Санкт-Петербург

Татьяна Юрьевна, спасибо за Ваш отзыв и высокую оценку работы Анастасии Игоревны! Для нас очень важно, что Вы остались довольны лечением.

Анастасия Игоревна действительно талантливый специалист, который подходит к каждому пациенту с вниманием и заботой.

Будьте здоровы! Мы всегда рады видеть Вас снова!

Директор по сервису Зосимова Жанна Геннадьевна