812 777 00 00
Записаться на прием

Березкин Дмитрий Андреевич

Врач-стоматолог-ортопед, гнатолог

кандидат медицинских наук

Записаться на прием
Березкин Д.А.

Я доволен своей работой, когда пациент не может отличить вновь установленную конструкцию от своих собственных зубов, а функция зубов полностью восстановлена.

Ведёт приём в клиниках

(ведущий специалист)

Цены на услуги ведущих специалистов клиник отличаются от цен, указанных в базовом прайс-листе.

Дмитрий Андреевич, высококвалифицированный стоматолог-ортопед, считает, что максимальный результат достигается благодаря слаженной работе в команде, четкому планированию этапов лечения и детальному анализу полученных результатов. Он всегда подробно объясняет пациентам все аспекты предстоящей работы, ведь именно сотрудничество является важной составляющей успеха. Используя в работе диоксид циркония, Дмитрий Андреевич решает ортопедические проблемы любой сложности. Оставаться востребованным врачом в своей отрасли ему помогают точность и высокая эстетика изготавливаемых конструкций, непременное соблюдение стандартов ортопедического лечения.

Постоянно повышает свой профессиональный уровень, являясь участником различных семинаров и конференций. Защитил диссертацию на соискание ученой степени кандидата медицинских наук.

Стаж с 1999 года.

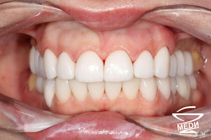
Примеры работ

До начала лечения
После лечения лечения

Причина обращения: протезирование полости рта, удаление подвижных зубов, изменение цвета зубов, восстановлением эстетики и функции всех зубов на верхней и нижней челюстях.

До начала лечения
После лечения лечения

Причина обращения: протезирование полости рта, удаление подвижных зубов, изменение цвета зубов, восстановлением эстетики и функции всех зубов на верхней и нижней челюстях.

До начала лечения
После лечения лечения

Причина обращения: протезирование полости рта, удаление подвижных зубов, изменение цвета зубов, восстановлением эстетики и функции всех зубов на верхней и нижней челюстях.

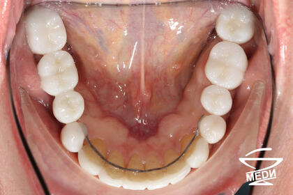
До начала лечения
После лечения лечения

Причина обращения: жалобы на неровное положение зубов, неудовлетворительную эстетику улыбки, отсутствие места для протезирования на верхней и нижней челюсти.

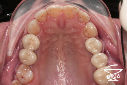
До начала лечения
После лечения лечения

Причина обращения: жалобы на неровное положение зубов, неудовлетворительную эстетику улыбки, отсутствие места для протезирования на верхней и нижней челюсти.

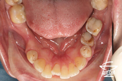
До начала лечения
После лечения лечения

Причина обращения: жалобы на неровное положение зубов, неудовлетворительную эстетику улыбки, отсутствие места для протезирования на верхней и нижней челюсти.

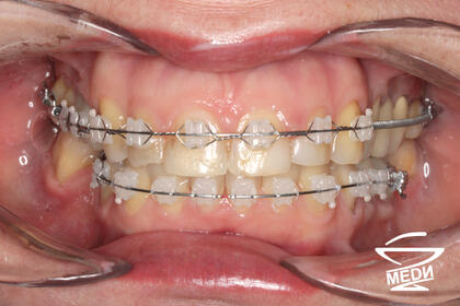
До начала лечения
В процессе лечения
После лечения лечения

Причина обращения: неудовлетворительная эстетика улыбки, отсутствие места для протезирования на верхней челюсти справа. Ортодонтическое лечение с последующей фиксацией виниров на фронтальные зубы верхней челюсти, протезированием боковых зубов коронками.

До начала лечения
После лечения лечения

Причина обращения: неудовлетворительная эстетика улыбки, отсутствие места для протезирования на верхней челюсти справа. Ортодонтическое лечение с последующей фиксацией виниров на фронтальные зубы верхней челюсти, протезированием боковых зубов коронками.

До начала лечения
После лечения лечения

Причина обращения: неудовлетворительная эстетика улыбки, отсутствие места для протезирования на верхней челюсти справа. Ортодонтическое лечение с последующей фиксацией виниров на фронтальные зубы верхней челюсти, протезированием боковых зубов коронками.

До начала лечения
После лечения лечения

Удаление зубов, костная пластика и имплантация зубов с повышением уровня прикуса. Протезирование цельнокерамическими винирами, коронками и полукоронками e.max, коронками на основе диоксида циркония.

До начала лечения
После лечения лечения

Удаление зубов, костная пластика и имплантация зубов с повышением уровня прикуса. Протезирование цельнокерамическими винирами, коронками и полукоронками e.max, коронками на основе диоксида циркония.

До начала лечения
После лечения лечения

Удаление зубов, костная пластика и имплантация зубов с повышением уровня прикуса. Протезирование цельнокерамическими винирами, коронками и полукоронками e.max, коронками на основе диоксида циркония.

До начала лечения
В процессе лечения
После лечения лечения

Ортодонтическое лечение с помощью каппы на нижнюю челюсть с последующей фиксацией эстетической брекет-системы. После ортодонтического лечения зафиксированы вкладки на боковые зубы нижней челюсти и виниры на фронтальные зубы верхней челюсти.

До начала лечения
После лечения лечения

Причина обращения: протезирование, восстановление эстетики и функции всех зубов на верхней и нижней челюстях.

До начала лечения
После лечения лечения

Причина обращения: протезирование, восстановление эстетики и функции зубов верхней челюсти.

До начала лечения
В процессе лечения
После лечения лечения

Причина обращения: протезирование, восстановление эстетики и функции зубов нижней челюсти. Установка съёмного протеза с фиксацией на имплантатах посредством системы Novaloc от Straumann.

Отзывы пациентов

Отзыв №106284 |

Уважаемый Дмитрий Андреевич! В День медицинского работника хочу сказать Вам огромное спасибо за Вашу работу! Вы не просто стоматолог,а настоящий волшебник,который возвращает людям уверенность в улыбке.Пусть Ваши дни будут светлыми и счастливыми! Желаю Вам крепкого здоровья,сил и море позитива! С уважением,Смирнова Лариса Николаевна.

Смирнова Лариса Николаевна | Санкт-Петербург

 Уважаемая Лариса Николаевна! Дмитрий Андреевич Березкин передает Вам большое спасибо за добрые слова и теплый отзыв! Приятно слышать, что работа наших специалистов помогает людям возвращать уверенность в своей улыбке. Желаем Вам здоровья, счастья и много радостных моментов!

Директор по сервису Зосимова Жанна Геннадьевна
Отзыв №105932 |

Благодарю и поздравляю с праздником хирурга и ортопеда Березкина Дмитрия Андреевича и Новацкого Вячеслава Олеговича за качественную стоматологическую помощь,высокий проф.уровень,доброжелательное и бережное отношение к пациентам.

Юрьева Раиса Геннадьевна | Санкт-петербург

Добрый день, Раиса Геннадьевна! Благодарим Вас за внимание и добрые слова в адрес Дмитрия Андреевича и Вячеслава Олеговича. Врачи передают Вам привет и ждут в "МЕДИ на Каменностровском" на запланированный прием!

Директор по сервису Зосимова Жанна Геннадьевна
Отзыв №103821 |

Не могу не выразить благодарность Березкину Дмитрию Андреевичу, высокопрофессиональному стоматологу-ортопеду! В результате его качественной и просто ювелирной работы я забываю о протезах, моя жизнь изменилась в лучшую сторону. Во время всех посещений сопровождала доброжелательная атмосфера , получены ответы и разъяснения по всем интересующим вопросам.

Татьяна | Россия

Татьяна, спасибо за теплые слова! Дмитрий Андреевич виртуоз.Очень рады, что Вы живете полноценной жизнью. Улыбайтесь с удовольствием, улыбка Вам очень идет :-)
Всегда рады видеть Вас!

Директор по сервису Зосимова Жанна Геннадьевна