812 777 00 00
Записаться на прием

Цыганкова Оксана Сергеевна

Врач-ортодонт

Записаться на прием
Цыганкова О.С.

Я люблю свою профессию за то, что она помогает пациенту улучшить качество своей жизни и придаёт дополнительную уверенность в себе. А самая большая благодарность для меня — когда мне доверяют не только своё здоровье, но и здоровье своих детей и близких.

Ведёт приём в клиниках

(ведущий специалист)

Цены на услуги ведущих специалистов клиник отличаются от цен, указанных в базовом прайс-листе.

Оксана Сергеевна обладает богатым опытом лечения детей в сменном прикусе на съёмных и несъёмных аппаратах, а также лечения подростков и взрослых с использованием различных ортодонтических конструкций. В работе предпочитает вестибулярные брекет-системы и индивидуально изготовленные аппараты.

Большое внимание уделяет грамотному планированию лечения, в частности 3D-цефалометрическому анализу, позволяющему измерить стоматологические и скелетные соотношения челюстно-лицевой части черепа. Своим достижением считает профессиональный подход к подбору ортодонтических конструкций с учётом индивидуальных особенностей пациента в каждом клиническом случае.

Особое внимание уделяет междисциплинарному взаимодействию с коллегами смежных специальностей — остеопатами, лор-врачами, челюстно-лицевыми хирургами, ортопедами, хирургами-стоматологами — при работе как с детьми, так и со взрослыми пациентами. А самым важным считает создание комфортного психологического климата во время приёма.

Оксана Сергеевна пришла в эту отрасль медицины, побывав сама в роли пациента врача-ортодонта и воочию познав все трудности и радости этой удивительной профессии. Поэтому она считает очень ценным постоянное совершенствование клинических знаний и практических навыков, участие в научных и научно-практических конференциях по своему профилю.

Стаж с 2018 года.

Примеры работ

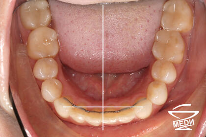
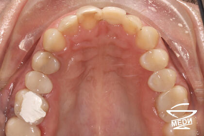
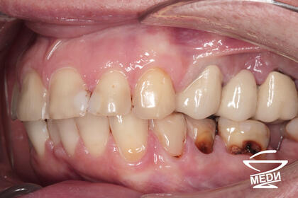
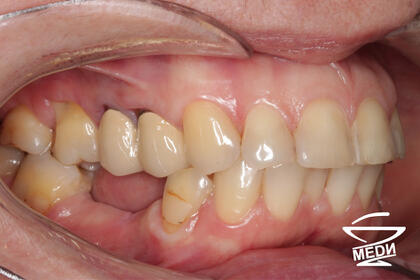
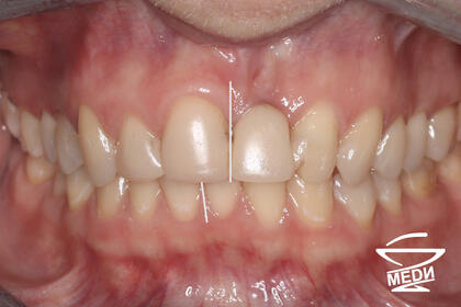
До начала лечения
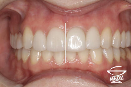
После лечения лечения

Причина обращения: смещение центральной линии нижней челюсти вправо из-за удаления нижнего правого 6-го зуба в детском возрасте; жалобы на неудовлетворительную эстетику улыбки.

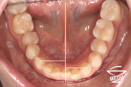
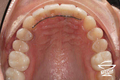
До начала лечения
После лечения лечения

Причина обращения: смещение центральной линии нижней челюсти вправо из-за удаления нижнего правого 6-го зуба в детском возрасте; жалобы на неудовлетворительную эстетику улыбки.

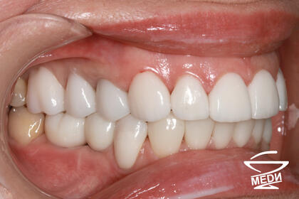
До начала лечения
После лечения лечения

Причина обращения: смещение центральной линии нижней челюсти вправо из-за удаления нижнего правого 6-го зуба в детском возрасте; жалобы на неудовлетворительную эстетику улыбки.

До начала лечения
После лечения лечения

Причина обращения: жалобы на неровное положение зубов, неудовлетворительную эстетику улыбки, отсутствие места для протезирования на верхней и нижней челюсти.

До начала лечения
После лечения лечения

Причина обращения: жалобы на неровное положение зубов, неудовлетворительную эстетику улыбки, отсутствие места для протезирования на верхней и нижней челюсти.

До начала лечения
После лечения лечения

Причина обращения: жалобы на неровное положение зубов, неудовлетворительную эстетику улыбки, отсутствие места для протезирования на верхней и нижней челюсти.

До начала лечения
После лечения лечения

Причина обращения: жалобы на неровное положение зубов, неудовлетворительную эстетику улыбки, отсутствие места для протезирования на верхней и нижней челюсти.

До начала лечения
После лечения лечения

Причина обращения: жалобы на неровное положение зубов, неудовлетворительную эстетику улыбки, отсутствие места для протезирования на верхней и нижней челюсти.

До начала лечения
После лечения лечения

Причина обращения: жалобы на неровное положение зубов, неудовлетворительную эстетику улыбки, отсутствие места для протезирования на верхней и нижней челюсти.

До начала лечения
После лечения лечения

Причина обращения: неудовлетворительная эстетика улыбки, отсутствие места для протезирования на верхней челюсти справа. Ортодонтическое лечение с последующей фиксацией виниров на фронтальные зубы верхней челюсти, протезированием боковых зубов коронками.

До начала лечения
В процессе лечения
После лечения лечения

Причина обращения: неудовлетворительная эстетика улыбки, отсутствие места для протезирования на верхней челюсти справа. Ортодонтическое лечение с последующей фиксацией виниров на фронтальные зубы верхней челюсти, протезированием боковых зубов коронками.

До начала лечения
После лечения лечения

Причина обращения: неудовлетворительная эстетика улыбки, отсутствие места для протезирования на верхней челюсти справа. Ортодонтическое лечение с последующей фиксацией виниров на фронтальные зубы верхней челюсти, протезированием боковых зубов коронками.

До начала лечения
После лечения лечения

Причина обращения: неудовлетворительная эстетика улыбки, отсутствие места для протезирования на верхней челюсти справа. Ортодонтическое лечение с последующей фиксацией виниров на фронтальные зубы верхней челюсти, протезированием боковых зубов коронками.

До начала лечения
В процессе лечения
После лечения лечения

Ортодонтическое лечение с помощью каппы на нижнюю челюсть с последующей фиксацией эстетической брекет-системы. После ортодонтического лечения зафиксированы вкладки на боковые зубы нижней челюсти и виниры на фронтальные зубы верхней челюсти.

Отзывы пациентов

Отзыв №105261 |

Филиал на Академической, врач ортодонт Цыганков Оксана Сергеевна, мое посещение для установки ортодонтической системы. Приём пошёл отлично! Чувствуется забота врача! Ни один мой вопрос не остался без ответа! В процессе установки, врач описывал весь процесс, что очень важно для меня! Даны подробные рекомендации по уходу и дальнейшему лечению! Спасибо огромное Оксана Сергеевна! Ушла с хорошим настроением! Благодарю МЕДИ за предоставленные услуги. У вас замечательный персонал!

Татьяна Владимировна | Санки-Петербург

Добрый день, Татьяна Владимировна!

Спасибо за Ваш отзыв. Успех ортодонтического лечения напрямую зависит от строго соблюдения пациентом рекомендаций врача. Вот почему так важно в деталях объяснить процесс лечения, дать максимально подробные и точные рекомендации. Ортодонт Оксана Сергеевна Цыганкова не жалеет времени на общение с пациентами, всегда готова дать объяснения и ответить на возникающие вопросы.

Искренне желаем Вам успешного лечения и скорейшего достижения запланированных результатов!

Директор по сервису Зосимова Жанна Геннадьевна
Отзыв №104959 |

Прекрасная клиника с высокопрофессиональными администраторами на ресепш и врачами.Выражаем благодарность врачу Цыганковой ОС за успешное ортодонтическое лечение, за чуткое и внимательное отношение.С уверенностью могу рекомендовать этого доктора и клинику.

Анна | Санкт-Петербург

Анна, спасибо за высокую оценку работы персонала клиники, для нас важен Ваш комфорт. Очень приятно, что Вы доверились Оксане Сергеевне, ортодонтическое лечение требует терпения, но результат того стоит.
Всегда рады видеть Вас, приходите на профилактические осмотры!

Директор по сервису Зосимова Жанна Геннадьевна
Отзыв №104771 |

Доктор Цыганкова Оксана Сергеевна, благодарить за консультации. хорошо мне подробнее рассказывала. супер она!

Мария Романовна | Санкт-Петербург

Мария, добрый день!
Очень приятно, что консультация врача-ортодонта оказалась понятной и полезной.

Приходите в "МЕДИ на Большевиков", будем рады видеть!

Директор по сервису Зосимова Жанна Геннадьевна