812 777 00 00
Записаться на прием

Козлова Юлия Артуровна

Врач-стоматолог детский

Записаться на прием
Козлова Ю.А.

Самое ценное в моей специализации — дети! Они искренние, заряжают положительной энергией и не требуют ничего взамен. Важно быть терпеливым и ответственным.

Ведёт приём в клиниках

(ведущий специалист)

Цены на услуги ведущих специалистов клиник отличаются от цен, указанных в базовом прайс-листе.

Юлия Артуровна владеет всеми современными техниками лечения кариеса и его осложнений как в случае временных, так и постоянных зубов с незавершенным формированием корня. Большое внимание уделяет первичной диагностике и профилактике кариозных поражений.

Очень важным для себя фактором Юлия Артуровна выделяет командную работу, особенно с врачами ортодонтом и хирургом, что является необходимым при выявлении проблем прикуса.

Проводит лечение по технологии ICON, а также использует кислородно-азотную седацию для снижения тревожности у детей при лечении.

Юлию Артуровну отличает коммуникативность: она всегда готова разъяснить родителям все этапы лечения, дать подробные рекомендации и ответить на их вопросы до и после лечения.

Является участником конгрессов и семинаров, интересуется всеми новинками в сфере стоматологии.

Стаж с 2021 года.

Примеры работ

До начала лечения
В процессе лечения
После выполнения плана лечения

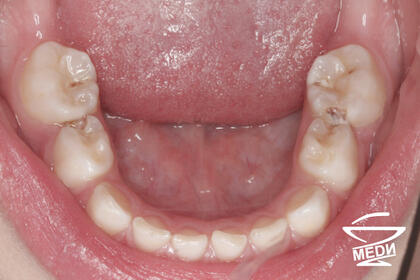
Лечение кариеса постоянного зуба, герметизация фиссур

До начала лечения
В процессе лечения
После выполнения плана лечения

Лечение кариеса постоянного зуба

До начала лечения
В процессе лечения
После выполнения плана лечения

Лечение кариеса постоянного зуба

До начала лечения
После выполнения плана лечения

Причина обращения: разрушенность зубов и периодические ноющие боли на нижних зубах. Лечение хронического пульпита, восстановлены зубов стандартными металлическими коронками.

Отзывы пациентов

Отзыв №106000 |

Большое спасибо Юлии Артуровне Козловой за лечение дочки 4 лет.

Пришли после неудачного визита в другой клинике. Девочка очень высокочувствительна к любым непривычным ощущениям, особенно к боли.
Но получилось мягко и плавно влиться в процесс лечения. Приходили 6 раз, и каждый раз без слез, без сопротивления. Доктор очень понравился дочке и мне- маме. Юлия Артуровна с ассистентами очень доброжелательно общались. Я могла сидеть рядом и держать за руку своего ребенка. А дочка могла поднять руку - как сигнал стоп, если что-то не так или больно.

Все этапы озвучивали, предварительно давали посмотреть на щеточку, на сверлышко. Предупреждали о вкусах пасты, о том, где и когда и сколько нужно потерпеть. Дали выбрать цвет пломбы. Когда нужно было отдохнуть - терпеливо выжидали, когда дочка даст согласие на продолжение. И не пару секунд, а действительно столько, сколько нужно: и 2 и 5 и 10 минут. Это важно: ребенок доверял. Не чувствовалось спешки или нетерпения доктора (что я наблюдала в другом месте) . При этом работа шла четко и быстро.

Хочется еще отметить ассистента Ирину Максимовну Киселеву - очень слажено работают вместе с доктором, и с дочкой общение то, что надо. Где подбодрить, где похвалить, - все к месту и с опережением. Всегда интересовалась, как чувствует себя ребенок, не мешает ли слюнка. Все очень приветливо и доброжелательно.

Собираемся и дальше приходить наблюдать за зубками именно к вам.
Спасибо от всей души!

Таисия Андреевна | Санкт-Петербург

Здравствуйте!
Большое спасибо за Ваш отзыв, для нас он очень важен! Нам жаль, что Таисии однажды пришлось испытать негативный опыт лечения и очень рады, что сумели показать ей, что стоматолог - ее друг. Спасибо, также, что отдельно отметили ассистента доктора, которая вкладывает всю свою любовь к маленьким пациентам во время приема. 
Ждем вас с Таисией снова,  приходите к нам на профосмотры, мы всегда вам рады!

Директор по сервису Зосимова Жанна Геннадьевна