812 777 00 00
Записаться на прием

Гельштейн Константин Борисович

Врач-стоматолог-ортопед

главный специалист по ортопедической стоматологии

Записаться на прием
Гельштейн К.Б.

Главное для меня – найти подход к каждому пациенту и, используя современные технологии, компетентно донести до него информацию о необходимом лечении. Комплекс мануальных навыков, опыт и кругозор врача, а также точность и бескомпромиссность в подходе к работе позволяют добиваться высоких результатов.

Ведёт приём в клиниках

(ведущий специалист)

Цены на услуги ведущих специалистов клиник отличаются от цен, указанных в базовом прайс-листе.

Мне нравится, что стоматология — интенсивно развивающаяся область медицины. Это помогает мне как специалисту постоянно повышать свою квалификацию, обучаться новым методикам и технологиям, передавать свой опыт коллегам.

Современная стоматология в своем арсенале имеет высокотехнологичные методики, что обеспечивает высокое качество лечения. Однако главное для стоматолога-ортопеда — четко представлять результат своей работы, уметь поэтапно спланировать лечебный процесс с привлечением смежных специалистов, объяснить пациенту необходимость того или иного вмешательства.

Для врача стоматолога-ортопеда кроме широкого клинического мышления важна аккуратность и педантичность, так как в работе масса мелочей и нюансов.

Профессиональные навыки и опыт в сочетании с искренним желанием помочь каждому пациенту позволяют врачу добиваться максимальных результатов и радоваться, когда в мире становится на одну улыбку больше!

Стаж с 1998 года.

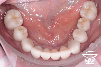
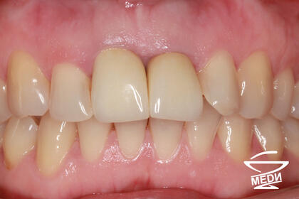
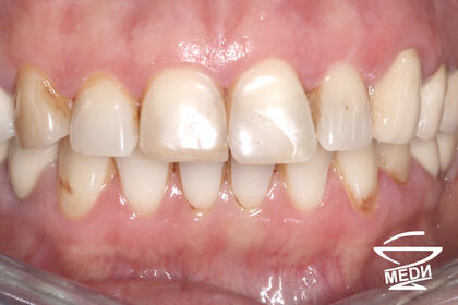
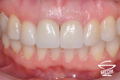
Примеры работ

До начала лечения
После лечения лечения

Причина обращения: неудовлетворительная форма зубов, отсутствие зубов.

До начала лечения
После лечения лечения

Причина обращения: неудовлетворительная форма зубов, отсутствие зубов.

До начала лечения
После лечения лечения

Причина обращения: неудовлетворительная форма и цвет зубов.

До начала лечения
После лечения лечения

Причина обращения: неудовлетворительная форма и цвет зубов.

До начала лечения
После лечения лечения

Причина обращения: неудовлетворительная форма и цвет зубов.

До начала лечения
После лечения лечения

Причина обращения: неудовлетворительную форму зубов.

До начала лечения
После лечения лечения

Причина обращения: адентия (врожденное отсутствие) боковых резцов верхней челюсти.

До начала лечения
После лечения лечения

Причина обращения: неудовлетворительная форма и цвет коронок, отсутствие жевательных зубов.

До начала лечения
После лечения лечения

Причина обращения: неудовлетворительная форма и цвет коронок, отсутствие жевательных зубов.

До начала лечения
После лечения лечения

Причина обращения: неудовлетворительная форма и цвет коронок, отсутствие жевательных зубов.

До начала лечения
После лечения лечения

Причина обращения: неудовлетворительная форма и цвет коронок трех центральных зубов.

До начала лечения
После лечения лечения

Причина обращения: разрушение и отсутствие зубов. Пациенту изготовлены полный съёмный протез верхней челюсти и несъёмный протез «Все-на-4» на нижней челюсти.

До начала лечения
После лечения лечения

Причина обращения: разрушение и отсутствие зубов. Пациенту изготовлены полный съёмный протез верхней челюсти и несъёмный протез «Все-на-4» на нижней челюсти.

До начала лечения
После лечения лечения

Причина обращения: разрушение и отсутствие зубов. Пациенту изготовлены полный съёмный протез верхней челюсти и несъёмный протез «Все-на-4» на нижней челюсти.

Отзывы пациентов

Отзыв №105736 |

Концепция клиники - вау эффект.
Диагностика по КТ, построение плана лечения, фотодокументация, оборудование (тут мне, как обывателю, сложно судить, но впервые я видела, чтобы канал зуба мне проходили под микроскопом и для контроля результата тут же был сделан рентген), блестящая коллаборация нескольких специалистов - это МЕДИ.
Как театр начинается с вешалки, так с порога в МЕДИ на Каменноостровском появляется ощущение того, что ты в надёжных руках и всё будет хорошо.
Ирина Владимировна Жукова - ас и художник, если она позволит так высказаться про её работу (к слову сказать, в свои 46 лет стоматологов я боялась как огня). В прежние времена имена таких врачей передавали друг по другу и попасть к ним было практически нереально.
Её ассистент Ирина - внимательная, заботливая, она первая, кто производит госприемку выполненной работы до того, как результат увидит сам пациент. Уровень доверия 100%.
Гельштейн Константин Борисович - современный Буанаротти. Как сказал знаменитый итальянец: "...беру камень и отсекаю всё лишнее". Так и Константин Борисович при моей, казалось бы, патовой ситуации, вместе с ассистентом Еленой сотворил красоту.
Новацкий Вячеслав Олегович - абсолютное мастерство, внимание к деталям и совершенство исполнения сложнейшей работы. И Вячеслав Олегович, и его ассистент Полина - удалять 8-ки теперь только к вам)

Низкий поклон всем врачам и слова благодарности!

Тамара Валентиновна | Санкт-Петербург

 Тамара Валентиновна, так приятно получить столь изысканные слова благодарности. Очень приятно, что Вы высоко оценили каждый этап встречи с нашей клиникой - от встречи менеджера до диагностии и от составления плана лечпения и самого процесса лечения. Спасибо, что Вы отдельно отметили каждого врача, ассистента, уверена, им будет приятно. Самое ценное для нас - Ваше здоровье и Ваш комфорт. И мы рады, что все получилось! 

Еще раз спасибо за теплые слова. Ждем Вас снова, уже на профилактические осмотры!

Директор по сервису Зосимова Жанна Геннадьевна
Отзыв №103335 |

Огромное спасибо Константин Борисович за Вашу работу и отношение как к пациенту клиники

Виктор | Санкт-Петербург

Виктор Петрович, большое спасибо за теплые слова. Константин Борисович облагает большим опытом и особым тактом, как Вы точно заметили. Эти качества позволяют ему, как главному специалисту, формировать сильную команду ортопедов в наших клиниках.
Будем рады видеть Вас снова, приходите на контрольные осмотры!

Директор по сервису Зосимова Жанна Геннадьевна
Отзыв №100608 |

Полгода назад уже писал отзыв о Константине Борисовиче.
Сейчас столкнулся с критической ситуацией и могу только подтвердить, что Константин Борисович это 5 звезд, без преувеличения. Спасибо.

Владимир | Санкт-Петербург

Уважаемый Владимир, добрый день!
Рады, что удалось решить ситуацию экстренно!

Будем рады видеть Вас снова!

Директор по сервису Зосимова Жанна Геннадьевна